Kardiologi - Hjertets funktion, sundhed og sygdomme
Hjertesygdomme er forholdsvis almindeligt forekommende hos heste. De kan skyldes medfødte hjertefejl, arytmier og hjerteklapsygdomme. Ofte har hesten ingen åbenlyse symptomer før sygdommen er fremskreden. Nedsat præstation, svaghed, kollaps, væskeansamlinger under bugen og stasede vener kan være tegn på en hjertesygdom. En pludseligt opstået mislyd på hjertet, som ikke har været bemærket tidligere ved rutinetjek f.eks. i forbindelse med vaccination eller tandrasp, bør altid undersøges nærmere. Det samme gælder rytmeforstyrrelser (arytmier). Hvis der er bemærkninger til hjertet ifm. en handelsundersøgelse, er det ligeledes anbefalelsesværdigt, at få hjertet undersøgt af en specialist. En hjerteundersøgelse begynder altid med en udførlig forhistorie og en klinisk undersøgelse af hesten. Derefter følger en eller flere specielle undersøgelser, som kan udføres ambulant hvor hesten står opstaldet.
-

EKG
Et EKG er en optegnelse af hjertets elektriske aktivitet. Det kan vise om hjertet slår regelmæssigt, eller om hesten har aytmi (rytmeforstyrrelser
Hvorfor er et EKG vigtigt for heste?
◉ Arytmi Hvis en hest har arytmi (uregelmæssig hjerterytme), er et EKG næste skridt på vejen for at undersøge det nærmere. EKG’et kan vise hvilken type af arytmi, der er tale om. Nogle arytmier er helt ufarlige og uden betydning for hestens brug som ridehest. Andre arytmier er forbundet med større risici. Der findes også arytmier, som er farlige for hesten, og indebærer en dårlig prognose for hestens liv.
◉ Overvågning Regelmæssige EKG-undersøgelser kan bruges til at overvåge heste med kendte hjertelidelser.
◉ Præstation For alle typer af rideheste kan en EKG-undersøgelse af hesten under arbejde, vise om hesten er i topform. Ved at følge hjertets rytme og puls gennem et træningspas, får man vigtige informationer om hestens kondition. Rytteren kan bruge det til at optimere træningen, og derved sikre sig, at hesten holdes sund og i topform.
Hvordan foregår en EKG-undersøgelse?En EKG-undersøgelse er en simpel og smertefri procedure. Elektroder placeres på hestens hud for at registrere hjertets elektriske signaler. Via bluetooth sendes data til en computer, som viser en optegnelse af hjertets elektriske aktivitet. EKG kan optages i hvile og under arbejde. Undersøgelsen kræver ingen bedøvelse.
-

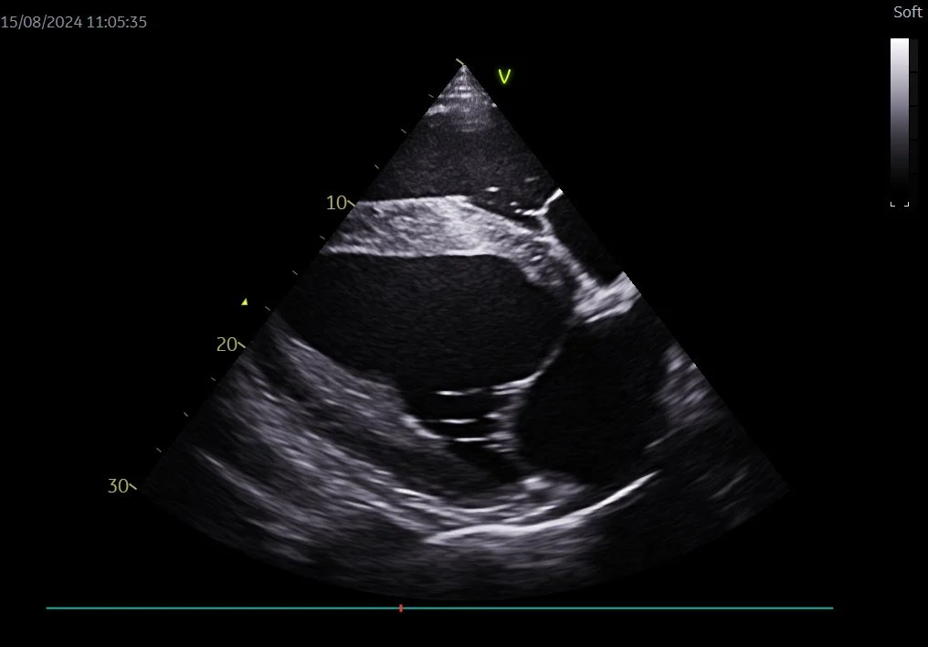
Ultralydsscanning
Ved en ultralydsscanning af hjertet undersøges hjerteklapper, hjertekamre, muskulaturen, hjerteposen, de store blodkar og blodgennemstrømningen i hjertet.
Hvordan foregår en hjertescanning?
◉ Forberedelse
Et lille område bagved hestens albue, på begge sider, klippes og rengøres.◉ Scanning
Hjertet scannes i forskellige vinkler, og der optages billeder og videoer. Undersøgelsen varer ca. 1 time, og gøres uden bedøvelse.
◉ Analyse
Billederne analyseres efterfølgende, og der foretages en række målinger for at kunne vurdere hjertets sundhedstilstand og funktion.
Dyrlæge Lynette Ramsay · info@ramsayequinemedical.com · +45 30699697